طرطوس-سانا
إنجاز طبي جديد يسجل لصالح القطاع الصحي في سورية وللكوادر الطبية في مشفى الباسل بطرطوس بشكل خاص حيث نشرت مجلة الأبحاث الطبية البريطانية BMC Surgery ورقة بحثية لعمل جراحي نادر أجري في مشفى الباسل تحت عنوان “حالة نادرة وحرجة لورم على حساب سلسلة العقد الودية خلف البريتوان التبس”.
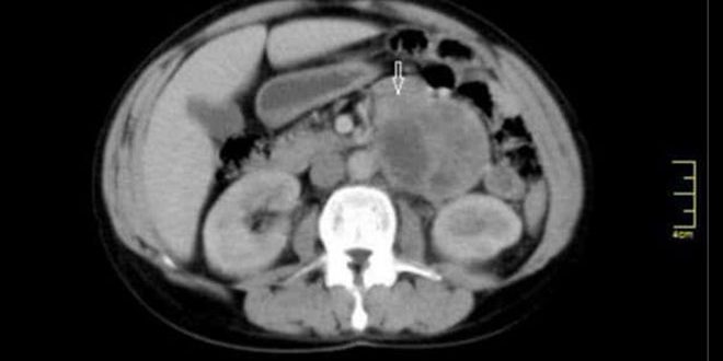
دكتور الجراحة العامة شوقي محمود الذي أجرى العملية بمساعدة طاقم طبي مختص قدم شرحاً تفصيلياً عن مجرياته قائلاً إنه عبارة عن استئصال كتلة ورمية من النوع النادر الحدوث داخل البطن لمريضة تبلغ من العمر 41 عاما تعاني من انزعاج بمنطقة الخاصرة اليسرى من البطن سبق وأن تم تشخيص ورم لها بنحو 2 سم لم تتم معالجته في حينها لتعاني بعدها على مدى ثلاث سنوات من نوبات صداع وأحيانا قلق مترافقة مع تسرع بضربات القلب ولم تذكر وجود ارتفاع توتر شرياني ما جعلنا نتعامل مع الحالة على أنها كتلة مجهولة المنشأ.
وأوضح محمود أن الأعراض الكلاسيكية لهذا الورم المعروف باسم باراغانغليوما تتمثل في تسرع ضربات القلب وارتفاع الضغط الشرياني والصداع والتعرق وقد تكون مجتمعة أو منفردة مبيناً أن الورم يصيب شخصا واحدا من بين مليون إلى عشرة ملايين شخص.
وأشار محمود إلى أنه بعد إجراء الفحوص المخبرية والشعاعية للمريضة وبعد تشخيص الورم بإجراء التلوينات المناعية النسيجية والتحضير الداوئي لها تم إجراء العمل الجراحي الذي استمر لنحو خمس ساعات ونصف الساعة لافتا إلى المضاعفات الخطيرة التي رافقت العمل الجراحي لناحية الارتفاع والانخفاض الكبير والمفاجئ للتوتر الشرياني والتسرع الشديد بنبضات القلب نتيجة ملامسة الكتلة الورمية مما استدعى إجراءه دون ملامسة الورم وهي حالة خطرة جداً تواجه طبيب الجراحة والتخدير في أثناء العمل الجراحي وتهدد بحدوث اضطراب نظم القلب أو حوادث دماغية وعائية للمريض بالإضافة إلى حدوث نزيف عند المريضة تجاوز 2 ليتر من الدم ما استدعى نقل 6 وحدات دم لها إضافة إلى خسارتها كمية كبيرة من السوائل.
وبين محمود أن المريضة غادرت المشفى بعد استقرار وضعها الصحي بشكل كامل مؤكداً أن هذا النوع من الأورام لا يعرف إن كان من النوع الخبيث أم السليم إلا بالمراقبة السنوية الدائمة مع احتمالية النكوس مجدداً بنسبة 50 بالمئة في المستقبل.
ونوه محمود بأن هذا العمل الجراحي يتميز بالندرة الشديدة وخطورته عالية وأردنا مشاركته على مستوى عال محلياً وعالمياً وهي المرة الرابعة التي تتم فيها مشاركة بحث وعمل طبي من قبل طاقم المشفى في أهم المجلات العلمية العالمية مؤكدا أنه رغم الحصار الاقتصادي والإمكانيات المحدودة المتوفرة لدينا استطعنا إجراء عمل جراحي نوعي ونادر ربما لم يكن بهذا النجاح في مراكز تمتلك تقنيات هائلة لكن الأهم من ذلك هو العقل البشري الذي نراه السلاح الأهم الذي نمتلكه ونستطيع مع الإصرار والإرادة أن ننجز الكثير لنثبت وجودنا على الخريطة الصحية العالمية.
بدوره قدم اختصاصي التشريح المرضي الدكتور حسام سلمان شرحا للمراحل التي مرت بها الحالة التشخيصية للكتلة ضمن مخبر التشريح في شعبة التشريح المرضي الموجودة بالمشفى بعد استئصالها حيث تم أخذ مقاطع نسيجية ومن ثم تجهيزها على شرائح زجاجية للتشخيص لافتاً الى أن حجم الكتلة يبلغ 9 سم وأجريت لها الاختبارات اللازمة ليتبين أنها من نوع باراغانغليوما مناعية مؤكداً أن الخباثة بهذا النوع لا تكتشف الا بالانتقالات فقط.
الدكتور اسكندر عمار مدير الهيئة العامة لمشفى الباسل أكد أن المشفى إلى جانب تقديم الخدمة الصحية المتكاملة للمواطنين وعملها كمؤسسة علمية تقوم بتدريب طلاب كلية الطب من كل الاختصاصات إضافة إلى طلاب مدرسة التمريض والمعهد الطبي فهي تعمل أيضاً كمؤسسة علمية بحثية تقوم بإجراء الأبحاث العلمية والعمليات الجراحية النادرة من قبل كوادرها المتخصصة التي تتمتع بخبرة طبية فنية متميزة مضيفا إنه تم نشر عدة أبحاث علمية باسم مشفى الباسل بطرطوس على مستوى العالم وآخرها ما تم نشره في المجلة البريطانية المذكورة حيث تم اعتماد طريقة هذا العمل الجراحي كعمل جراحي نوعي ونادر وكطريقة علمية للعمل.
فاطمة حسين
S A N A الوكالة العربية السورية للأنباء



