اللاذقية -سانا
تنذر آلام البطن واصفرار الجلد والعينين وفقدان الوزن باحتمال وجود ورم كبدي ما يستدعي وفق اختصاصي الأمراض الداخلية والكبد الدكتور ماهر ماضي
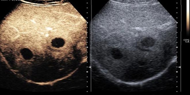
مراجعة أقرب طبيب لوضع التشخيص الدقيق والعلاج.ويوضح رئيس وحدة التنظير الهضمي والتشخيص الوظيفي بمشفى تشرين الجامعي في اللاذقية الدكتور ماضي أن أورام الكبد قد لا تترافق مع أي أعراض
وتكتشف بالصدفة أو تظهر على شكل ألم في الربع العلوي الايمن من البطن ويرقان بالجلد والعينين وشعور بالغثيان مبينا أن علاجها يختلف حسب نوعها فيما إذا كانت حميدة أو خبيثة.
ويفضل ماضي في تصريح لنشرة سانا الصحية تشخيص أورام الكبد بتقنية الايكو ظليل لكونها اجراء بسيطا وسهلا لا يتطلب سوى ست دقائق ويجنب
المريض التعرض لمخاطر الأشعة في حالة التصوير الطبقي المحوري والرنين المغناطيسي.
وبعد التشخيص يضع الطبيب الخطة العلاجية كما يشير الاختصاصي فيختار في حالة الأورام السرطانية تدبيرا جراحيا أو كيماويا أو شعاعيا أما للأورام السليمة فيكتفى بالمراقبة الدورية.
بشرى سليمان
S A N A الوكالة العربية السورية للأنباء
