مسقط-سانا
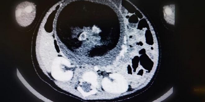
نجح قسم جراحة الأطفال بالمستشفى السلطاني في عمان بإجراء عملية جراحية نادرة لاستئصال جنين من داخل طفل يبلغ من العمر ثمانية أشهر وهي حالة نادرة الحدوث عالميا لكونها تتم في ظروف استثنائية.
وذكرت وكالة الأنباء العمانية أنه وبعد ثلاثة أيام من إجراء العملية تم التحقق من الفحوصات والمؤشرات التي أثبتت نجاح هذه العملية النوعية وسمح للطفل بمغادرة المستشفى.
يذكر أن هذه الظاهرة الطبية تعرف باسم (جنين داخل جنين) وتحدث بنسبة 1 من كل 500 ألف حالة ولادة حية على مستوى العالم.
S A N A الوكالة العربية السورية للأنباء
