دمشق-سانا
نجح فريق طبي في الهيئة العامة لمشفى الشهيد باسل الأسد لأمراض وجراحة القلب بدمشق في علاج حالة نادرة ونوعية لـ “أم الدم الكاذبة” في البطين الأيسر بعد شهرين من تبديل صمام تاجي على أرضية التهاب شغاف مشخص ومعالج وتم التداخل الجراحي عليها بنجاح.
وبين مدير المشفى والمشرف على الحالة الدكتور راغب سليمان في تصريح لمراسلة سانا أن سيدة راجعت المشفى دون سوابق مرضية بقصة ترفع حروري وتعب عام تطور لضعف في الطرفين السفليين مع نوبات متكررة من الغياب عن الوعي وتم تشخيص الحالة بالتهاب شغاف انتاني على الصمام التاجي مترافق مع صمات إنتانية دماغية، خضعت على إثرها لتبديل الصمام التاجي بصمام بديل معدني مع العلاج بالصادات الحيوية.
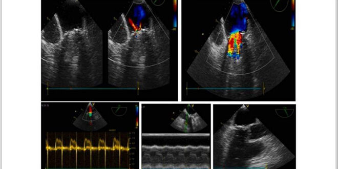
وبعد شهرين من العلاج بين الدكتور سليمان أن المريضة عادت بترقي زلة تنفسية على أقل جهد حيث تبين بالايكو عبر جدار الصدر وجود “أم الدم الكاذبة” على الجدار الحر للبطين الأيسر وتم تأكيد التشخيص بإجراء التصوير بالأشعة المقطعية متعدد المقاطع باستخدام الكمبيوتر إضافة لإجراء قثطرة قلبية لنفي السبب الإكليلي وكانت نتيجة القثطرة شرايين إكليلية طبيعية.
وأشار الدكتور سليمان إلى أن المريضة خضعت لاستئصال جراحي لـ “أم الدم الكاذبة” مع إغلاق فوهة التمزق في البطين الأيسر برقعة مع الخياطة على عدة طبقات وتخرجت المريضة بعدها بحالة عامة جيدة.
وأوضح الدكتور سليمان أن الحالة تم توثيقها ونشرها في ورقة بحثية كحالة نادرة لـ “أم الدم الكاذبة” في البطين الأيسر ضمن مجلة محكمة دولياً.
راما رشيدي
متابعة أخبار سانا على تلغرام https://t.me/SyrianArabNewsAgenc
S A N A الوكالة العربية السورية للأنباء



