اللاذقية-سانا
قال اختصاصي الجراحة العظمية الدكتور أحمد شعبان أن تقنية التثقيب والحقن بالبلازما الغنية بالصفيحات باتت تعطي “نتائج جيدة” لمنع تطور نخر رأس الفخذ وهي مشكلة صحية تصيب مرضى فقر الدم المنجلي والناعور ومن يتعاطون الكورتيزون لمدة طويلة.
وأضاف شعبان لـ سانا الصحية إن هناك محاولات لتطوير تقنية الحقن بالخلايا الجذعية لمنع تطور النخر “لكنها قيد الدراسة”.
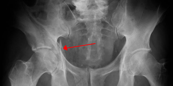
والنخرة الجافة أو التنخر اللاوعائي لرأس الفخذ حسب الاختصاصي تموت في رأس عظم الفخذ ناتج عن انقطاع التروية الدموية المغذية له يؤدي إلى حدوث تشوهات وانهدام وتغير في الشكل التشريحي له وبالتالي حدوث تغير في هيكلة مفصل الورك وحركته.
ولفت شعبان إلى أن النخر قد يحدث نتيجة بعض الأمراض المناعية والدموية كفقر الدم المنجلي والناعور وتعاطي الكورتيزون بشكل مستمر ولمدة طويلة وتراكم الشحوم وترسبها في الأوعية الدموية وتعاطي الكحول لافتا إلى أن هناك نسبة 25 بالمئة من الحالات مجهولة السبب وتكون غالبا لدى المدخنين وطوال القامة.
وعن العلاج بين جراح العظيمة توفر طرق علاجية متنوعة وذات فعالية عالية لمنع تطور التنخر في حال التشخيص المبكر منها تثقيب رأس الفخذ بعمل جراحي بسيط مع إجراء تطعيم لمكان التثقيب بطعم عظمي ذاتي من المريض نفسه وحاليا “أثبتت فعالية حقن البلازما الغنية بالصفيحات أثناء التثقيب” موضحا أن العلاج يجب أن يترافق مع راحة الطرف التامة واستخدام المميعات الدموية والمسكنات والعلاج الفيزيائي.
وفي الحالات المتقدمة التي تنتهي بتشوه راس الفخذ والتنكس المفصلي ذكر الاختصاصي أن العلاج الجراحي باستبدال مفصل الورك بآخر صنعي هو الحل المناسب.
بشرى سليمان
S A N A الوكالة العربية السورية للأنباء
