أديس أبابا-سانا حذرت المراكز الأفريقية لمكافحة الأمراض والوقاية منها من أن تفشي فيروس جدري القردة
المزيدصحة
الصحة اللبنانية: 37 شهيداً ونحو ثلاثة آلاف جريح حصيلة العدوان السيبراني الإسرائيلي على لبنان خلال اليومين الماضيين
بيروت-سانا أعلن وزير الصحة العامة في حكومة تصريف الأعمال اللبنانية فراس الأبيض أن حصيلة ضحايا
المزيدفي المؤتمر السنوي لأطباء الجراحة العصبية… مشاركات محلية وعربية تسلط الضوء على تطور الاختصاص ومستجدات العلاج
دمشق-سانا بمشاركة عربية ومحلية واسعة عقدت الرابطة السورية لأطباء الجراحة العصبية اليوم مؤتمرها السنوي الرابع والعشرين
المزيدفي اليوم العالمي لسلامة المرضى… جهود كبيرة للحفاظ على صحة وسلامة المرضى
دمشق-سانا بمناسبة اليوم العالمي لسلامة المرضى، أقامت وزارة الصحة اليوم بالتعاون مع منظمة الصحة العالمية احتفالية
المزيدمنظمة الصحة العالمية تعلن عن أول لقاح معتمد ضد جدري القردة
جنيف-سانا أعلنت منظمة الصحة العالمية اليوم عن أول لقاح معتمد ضد جدري القردة،
المزيدنجاح عمل جراحي نوعي في مشفى الباسل بطرطوس
طرطوس-سانا أجرى الكادر الطبي في الهيئة العامة لمشفى الباسل في طرطوس عملاً جراحياً نوعياً مشتركاً بين الشعبتين الأذنية والجراحة العصبية
المزيدمديرية الصحة في اللاذقية تتسلم مساعدات ومستلزمات طبية مقدمة من روسيا الاتحادية
اللاذقية-سانا تسلمت مديرية الصحة في اللاذقية اليوم سبعة أطنان ونصف الطن من المساعدات والمستلزمات الطبية والأدوية مقدمة
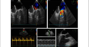
المزيدفي مشفى الباسل لأمراض وجراحة القلب بدمشق… فريق طبي ينجح في علاج حالة نادرة لـ “أم الدم الكاذبة”
دمشق-سانا نجح فريق طبي في الهيئة العامة لمشفى الشهيد باسل الأسد لأمراض
المزيدفي تدمر… خدمات طبية وجلسات توعية تقدمها جمعية تنظيم الأسرة السورية
تدمر-سانا تقدم العيادات الطبية في جمعية تنظيم الأسرة السورية بتدمر العلاج والأدوية المجانية
المزيدورشة تثقيفية للهلال الأحمر العربي السوري بدرعا حول الصحة المجتمعية
درعا-سانا أنهت اليوم فرق الهلال الأحمر العربي السوري بدرعا ورشة تثقيفية لتعزيز دور الصحة
المزيد
S A N A الوكالة العربية السورية للأنباء