نكتب الخبر بدقّة ومسؤولية

الشريط الأخباري

منوعات

الكشف عن خصائص السفينة الطائرة الروسية (تشايكا)

موسكو-سانا كشف غيورغي أنتسيف المدير العام لشركة (مورينسيس أغات) الروسية المطورة لمشروع السفينة الطائرة الإكرانوبلان عن المواصفات المميزة للسفينة الطائرة (تشايكا). ونقلت سبوتنيك عن أنتسيف قوله: “يمكن أن يكون لدى تشايكا خصائص برمائية جيدة وتذهب إلى الشاطئ بمنحدر يصل إلى …

المزيد

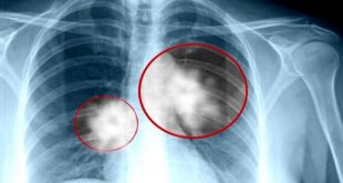
باحثون يتوصلون إلى طريقة لعلاج نوع من سرطان الرئة

بكين-سانا توصل باحثون صينيون إلى طريقة جديدة في علاج نوع شائع من سرطان الرئة وذلك بمكافحة الجين الذي يؤدي إلى هذا النوع من السرطانات. ووفقا للدراسة التي أجراها باحثون من معهد خفي للعلوم الفيزيائية التابع للأكاديمية الصينية للعلوم فإن للجين …

المزيد

بنك الأسئلة الالكتروني مشروع نفذه طالب في الثالث الثانوي

دمشق-سانا برنامج ذكي متخصص بوضع نماذج الأسئلة الامتحانية لكل المواد وضعه الشاب أحمد كيالي وتم إدراجه ضمن الخطة المقبلة لوزارة التربية نظرا لتميزه وفائدته العلمية والفنية بما يخص النهج التعليمي إضافة إلى قدرته على تطوير العمل التربوي عموما حيث يمثل …

المزيد

العثور على بقايا إنسان عمرها 8ر1 مليون سنة في اندونيسيا

جاكرتا-سانا عثر علماء آثار على رفات رجل مسن عمرها نحو 8ر1 مليون سنة خلال حفريات في اندونيسيا واعتبروها دليلا على وجود “الإنسان المنتصب” في البلاد منذ فترة طويلة. ووفقا لصحيفة جاكرتا بوست فإن العلماء قاموا بالحفريات في الجزء الأوسط من …

المزيد

ابتكار نموذج حاسوبي يتيح لخبراء الأرصاد التنبؤ بالتقلبات الجوية

واشنطن-سانا طور باحثون أمريكيون نموذجا حاسوبيا يتيح لخبراء الأرصاد التعرف بسرعة ودقة عالية على العواصف العاتية المحتملة. ووفقا للموقع الالكتروني “ساينس ديلي” المتخصص بالتكنولوجيا فإن باحثين من جامعتي بنسلفانيا الأمريكية وألميرا الاسبانية ومن شركة /أكو ويزر/ للأرصاد الجوية ابتكروا نموذجا …

المزيد

روسيا تصنع قاذفة لهب بذكاء اصطناعي جديد

موسكو-سانا أعلن المجمع الصناعي العسكري الروسي عزمه تحديث قاذف اللهب الثقيل “توسوتشكا” وتزويده بذكاء اصطناعي جديد أصغر من سابقيه المتمثلين في نظامي “سولنتسوبيك” و”بوراتينو”. ونقلت وكالة أنباء سبوتينك الروسية عن مصدر في المجمع العسكري الروسي قوله إنه تم تحسين بيئة …

المزيد

الإعلان عن بيع مسدسين مصنعين من نيزك عمره 5ر4 مليار سنة

واشنطن-سانا أعلنت دار هيريتيج للمزادات في دالاس الأمريكية عن عزمها عرض مسدسين للبيع مصنوعين من نيزك فضائي عمره 5ر4 مليار سنة. ونقلت سبوتنيك عن مدير دائرة العلوم والطبيعة في هيريتيج للمزادات كريغ كيسيك قوله إن غالبية الأجزاء المعدنية في المسدسين …

المزيد

تناول الحليب ومشتقاته يقي من الإصابة بالسرطان والسكري

مدريد-سانا كشفت علماء إسبان من جامعة غرناطة وجامعة مدريد بعد إجرائهم عدة دراسات أن استهلاك الحليب ومشتقاته يقي من الإصابة بالسرطان والسكري. وحلل الباحثون 14 دراسة علمية تناولت دراسة تأثير الحليب على الوقاية من الأمراض المختلفة حيث وجدوا أن الاستهلاك …

المزيد

عاصفة شمسية تتجه نحو الأرض

واشنطن-سانا حذر العلماء من عاصفة شمسية ضخمة تتجه نحو الأرض وقد تضرب الكوكب في غضون أيام قليلة. ونقل موقع سبيس ويذر عن خبراء الأرصاد الجوية قولهم في بيان مقتضب إن هناك فرصة لوقوع عاصفة مغناطيسية أرضية من فئة /جي1/ غدا …

المزيد

اختلاف مواعيد النوم يسبب البدانة والسكري وضغط الدم

واشنطن-سانا أظهرت دراسة طبية حديثة أن الأشخاص الذين لا يحصلون على نفس القدر من النوم وتختلف مواعيد ذهابهم إلى الفراش كل ليلة ربما يكونون أكثر عرضة للإصابة بمشاكل صحية مثل البدانة وارتفاع ضغط الدم وارتفاع الكوليسترول والسكري. ونقلت رويترز عن تيان …

المزيد