واشنطن-سانا أطلقت شركة غوغل الأمريكية خدمة جديدة تعتمد على تقنيات الذكاء الاصطناعي التوليدي بمميزات منافسة تقدم معلومات محدثة باستمرار، بالاستعانة بمحرك البحث الشهير.
المزيدمنوعات
إسبانيا وإيطاليا واليونان تعاني من الحر الشديد
عواصم-سانا شهدت إسبانيا اليوم موجة حر شديدة حيث بدأت درجات الحرارة في الارتفاع
المزيدالصين تطلق بنجاح صاروخاً جديداً إلى الفضاء
بكين-سانا أطلقت الصين بنجاح اليوم صاروخاً حاملاً جديداً إلى الفضاء من مركز جيوتشيوان لإطلاق الأقمار
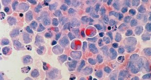
المزيدعلماء روس يبتكرون طريقة تسهل العلاج الكيميائي لمرضى السرطان
موسكو-سانا توصل علماء من جامعة ساراتوف الحكومية الروسية إلى طريقة للتحكم الدقيق
المزيددراسة: أكثر من 61 ألف حالة وفاة في أوروبا بسبب الحر الشديد في العام الماضي
مدريد-سانا أعلن معهد الصحة العالمية في برشلونة أنه تم تسجيل أكثر من 61 ألف حالة وفاة
المزيدالأمم المتحدة: الأسبوع الأول من تموز الأشد حرارة على الإطلاق
باريس-سانا كشفت إحصاءات دولية لمنظمة الأرصاد التابعة للأمم المتحدة اليوم أن الأسبوع الأول من شهر تموز الجاري هو “أشد الأسابيع
المزيدالمنظمة الدولية للأرصاد الجوية: انخفاض هائل بمستويات الجليد في القطب الجنوبي
جنيف-سانا أعربت المنظمة الدولية للأرصاد الجوية عن قلقها العميق
المزيدروسيا تعلن تقديمها خدمات الإنترنت الفضائي لـ 75 دولة بالعقد القادم
موسكو-سانا أعلنت وزارة الرقمنة الروسية عن عزم شركة “بيورو 1440” التابعة لمجموعة الشركات الروسية “إي كا إس”
المزيدنيوزويك: موجات الحر الشديدة تقتل عدداً أكبر من الأمريكيين
واشنطن-سانا كشفت مجلة نيوزويك الأمريكية أن موجات الحر الشديدة التي تكررت كثيراً خلال السنوات الأخيرة جراء تغير المناخ،
المزيداكتشاف بقايا مستوطنة قديمة عمرها 14 ألف عام في سيبيريا
موسكو-سانا عثر خبراء معهد نوفوسيبيرسك للآثار والإثنوغرافيا التابع لفرع أكاديمية العلوم الروسية في سيبيريا، مع عدد من الخبراء الأجانب على بقايا مستوطنة
المزيد
S A N A الوكالة العربية السورية للأنباء