Damasco, SANA Los principales diarios y medios de comunicación sirios destacaron los siguientes titulares del ámbito nacional e internacional: Siria reporta nuevo caso de Covid-19 entre los sirios repatriados de …
Leer másMuere un civil sirio por disparos de soldados del ocupante turco en Hasakeh
Hasakeh, SANA Un civil cayó mártir y otro resultó herido por disparos de las fuerzas de ocupación turcas y sus mercenarios terroristas contra un automóvil en un punto de control …
Leer másSiria reporta nuevo caso de Covid-19 entre los sirios repatriados de EAU
Damasco, SANA El Ministerio de Salud anunció un nuevo caso de infectado con el virus SARS-CoV-2 causante de la enfermedad Covid-19. Un comunicado del Ministerio explicó que el caso fue …
Leer másDisminuyen en un 37.7% los accidentes de tráfico en Siria
Damasco, SANA Durante el período de aplicación del toque de queda por la pandemia del nuevo Coronavirus, los accidentes de tránsito disminuyeron en un 37.7 por ciento en comparación con …
Leer másAntiguo zoco Saktieh en Alepo recupera su actividad comercial
Alepo, SANA El antiguo zoco Saktieh en el casco antiguo de la ciudad norteña de Alepo recupera gradualmente su actividad comercial tras ser rehabilitado de los daños provocados por los …
Leer másLos últimos seis casos con Covid-19 en Siria son sirios repatriados del exterior
Damasco, SANA El Ministerio de Salud anunció este sábado que los últimos seis nuevos casos positivos al nuevo coronavirus en Siria son de los sirios repatriados recientemente del extranjero e …
Leer másSiria se recupera pese al terrorismo y el bloqueo (Resumen económico semanal)
Provincias, SANA Pese a nueve años de guerra terrorista impuesta, Siria se recupera y lleva a cabo enormes esfuerzos para protegerse de la pandemia del coronavirus; a continuación, les ofrecemos …
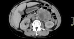
Leer másRevista médica británica destaca una rara cirugía efectuada en hospital sirio
Tartous, SANA La revista británica de investigaciones médicas (BMC Surgery) publicó un artículo sobre una cirugía poco frecuente realizada por un equipo de médicos en el Hospital de la provincia …
Leer másCalor en toda Siria y las temperaturas están de 8 a 12 grados por encima de sus promedios
Damasco, SANA Un clima de calor prevalece en todas las provincias sirias debido a una alta presión tropical acompañada por una masa de aire seca y calurosa. Según el boletín …
Leer másPublican en Praga el libro “Zenobia, la reina del desierto sirio”
Praga, SANA El escritor checo Jerji Tomic, publicó un nuevo libro sobre la vida de Zenobia, la reina de Palmira. El nuevo libro titulado “Zenobia, la reina del desierto sirio” …
Leer más
SANA en Español